Dental Implants

  1. Home
  2. Dental Implants

Dental Implant Process

Guiding you to New Smile

01

Comprehensive Consultation

At Carvolth Dentistry in Langley, we initiate your journey with a detailed examination, leveraging cutting-edge imaging to assess bone density and plan the implant placement.

02

Treatment Planning

With the help of CBCT and Intra Oral scan, we make treatment plan suitable for you. Either surgery with a surgical guide or free hand.

03

Precision Implantation

With state-of-the-art equipment and expertise, we surgically place the titanium implant post into the jawbone, ensuring stability and optimal positioning.

04

Restoration & Aftercare

Once the jawbone has fused to the implant (osseointegration), we attach the custom-crafted crown, bridge, or denture. We also provide thorough aftercare guidelines to ensure longevity and functionality.

Expertise Experience

A Word From Dr. Amaan Kataria On Dental Implants

Join Dr. Amaan as he navigates the world of dental implants. Explore the groundbreaking advancements that make dental implants the best solution for tooth replacement. Learn why countless individuals in Langley and beyond trust Carvolth Dentistry to restore their smiles, confidence, and oral health with this enduring solution

 

visit clinic

Comprehensive Dental Care For All Ages

Dental Veneer Process

Guiding you to New Smile

Star icon

Need help ?

Schedule your initial consultation today and start your journey towards a pain-free, healthier smile. Contact us now!

Learn More About Dental Implants

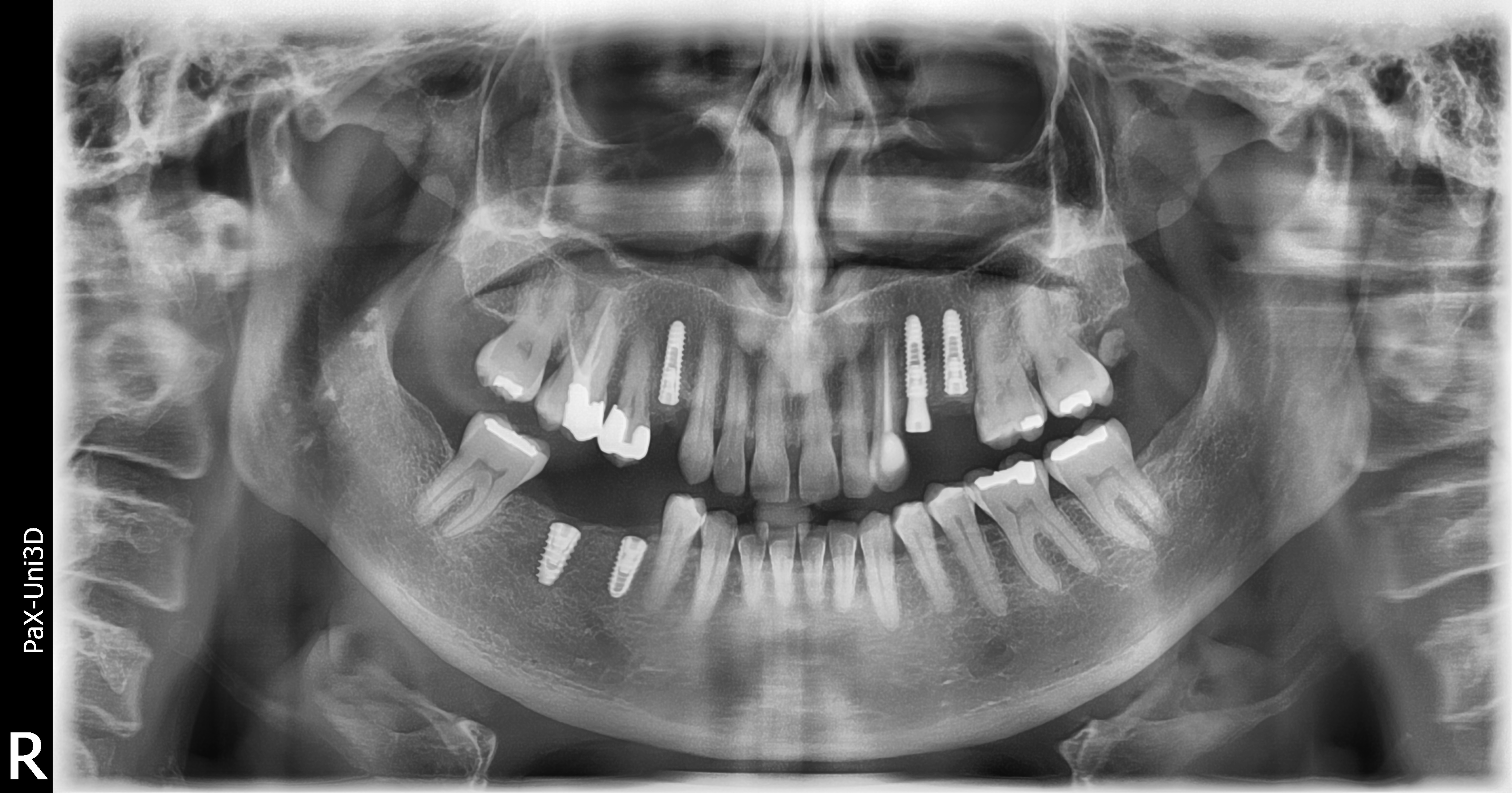
Dental implants have revolutionized the realm of restorative dentistry, offering a robust solution for missing teeth. At Carvolth Dentistry in Langley, we’re passionate about educating our patients on this transformative procedure. Whether you’re curious about the intricacies of the implant process or the materials utilized, our team stands ready to illuminate every facet. Dive deep into the world of dental implants with us, understanding their advantages, the technology behind them, and how they can serve as a foundation for a rejuvenated smile.

Benefits Of Dental Implants

Dental implants closely mimic natural teeth in both appearance and functionality, ensuring a seamless smile.

Implants stimulate the jawbone, preventing bone loss that often occurs after tooth loss.

With proper care, dental implants can last a lifetime, making them a durable and long-term solution.

Dental implants eliminate the challenges of slippage and discomfort often associated with dentures, enhancing speech and eating capabilities.

Unlike bridges, implants don't rely on neighboring teeth for support, preserving the overall health of your smile.

A full, radiant smile can enhance self-esteem and overall confidence.

Star icon

Your Smile Our Mission

Implant-Info-Guide

Contact Us

Request Our Dental Implants Package

Fill out the form below and we will send you our comprehensive information guide on dental implants. The guide comes along with $500 in savings!

    Testimonial

    What our Client Say

    Real smiles, real stories – hear what our clients have to say!

    Carvolth Dentistry Canada
    This rate is given by our Patients after visiting our Clinic
    0 /5
    Rating

    For Excellence Services

    Dr Aman did my implant, I was worried about this however he explained the procedure , the indication and other alternatives and spent his time replying to my questions. The implant went well. Dr Aman is a very Gentle dentist, he extracted a wisdom tooth with local freezing, every other Dentist wanted to put me under for that. He took his time doing it and asked me about my pain all through the procedure. His office staff are awesome as well.

    Dr. Freh Riskalla Doctor
    Carvolth Dentistry
    This rate is given by our Patients after visiting our Clinic
    0 /5
    Rating

    For Excellence Services

    We relocated far away, yet we still make it a point to visit Dr. Kataria and the team. The clinic is impeccably clean and exceptionally well-organized. Every visit is a delightful and enjoyable experience.

    Andrii Pronenko Local Guide
    Carvolth Dentistry
    This rate is given by our Patients after visiting our Clinic
    0 /5
    Rating

    For Excellence Services

    Booked an emergency apt here for my partner, he was in so much pain he could not even speak. Reception was so friendly and helpful, and booked us an appointment for the next hour. We were seen quickly, and he received pain relief, and got a root canal in the same day. Dentist and assistant were extremely professional and kind.

    Abi Neale Patient
    Carvolth Dentistry
    This rate is given by our Patients after visiting our Clinic
    0 /5
    Rating

    For Excellence Services

    Unbelievable experience from start to finish. Dr Amaan & the whole team at Carvolth Dentistry were empathetic, kind and very professional. I Will definitely recommend this clinic to family & friends going forward!.

    Joan Stevenson Patient
    Star icon

    BLOGS

    Check Our Recent Articles

    The Importance of Regular Dental Check-Ups

    The Importance of Regular Dental Check-Ups

    Maintaining oral health is crucial not only for a bright…

    Top 5 Benefits of Professional Teeth Whitening

    Top 5 Benefits of Professional Teeth Whitening

    Maintaining oral health is crucial not only for a bright…

    Understanding Dental Implants: What You Need to Know

    Understanding Dental Implants: What You Need to Know

    Maintaining oral health is crucial not only for a bright…