Implant Dentistry

  1. Home
  2. Services
  3. Implant Dentistry

Implant Dentistry

Guiding you to beautiful smile

Need help ?

Schedule your initial consultation today and start your journey towards a pain-free, healthier smile. Contact us now!

Carvolth Dentistry

Dental Implants: A Permanent Solution for Missing Teeth

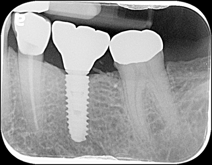
A dental implant is like a tooth root made out of titanium post and is surgically positioned either into the jaw bone or onto the bone, so a replacement tooth or bridge can be fixed to the implant. Dental implants also benefit general oral hygiene because they do not have to be anchored to other teeth, like bridges.

Dentists recognize that each patient has unique needs and concerns. Personalized care plans are developed to address individual dental health goals and preferences. Dentists also educate patients on proper oral hygiene practices and offer advice on diet and lifestyle choices that can impact oral health.

Ensuring Successful Dental Implants at Carvolth Dentistry

Dental implants are an excellent solution for replacing missing teeth, offering durability, functionality, and a natural appearance. To ensure the success of your implant treatment, our dentists at Carvolth Dentistry conduct a thorough evaluation of your oral health. This includes assessing your oral hygiene, taking necessary X-rays—including advanced 3D X-rays (Cone Beam Computed Tomography)—and examining the condition of your gum tissues and bone density. By carefully planning each step, we ensure optimal implant placement and long-term success.

Would you like any refinements or additional details?

Dental implants can be used to treat a single missing tooth, several missing teeth or replace all the missing teeth with an implant supported full-bridge.

Frequently Asked Questions

Dental implants are titanium posts surgically placed into the jawbone to serve as artificial tooth roots. They provide a strong foundation for replacement teeth such as crowns, bridges, or dentures.

Most people with good oral and overall health are candidates for dental implants. Adequate jawbone density and healthy gums are essential for successful implantation. A consultation with a dentist will determine if implants are right for you.

With proper care and regular dental check-ups, dental implants can last a lifetime. The crowns or prosthetic teeth attached to implants may need replacement after 10-15 years due to normal wear.

The procedure is performed under local anesthesia, so patients typically feel little to no discomfort. Some mild soreness or swelling may occur after surgery, but it can be managed with pain medication.

The process can take several months, as the implant needs time to integrate with the jawbone (a process called osseointegration). In some cases, same-day implants may be possible, but most patients require multiple appointments over a few months

Star icon

Your Smile Our Mission

Testimonial

What our Client Say

Real smiles, real stories – hear what our clients have to say!

Edit Content
Carvolth Dentistry Canada
This rate is given by our Patients after visiting our Clinic
0 /5
Rating

For Excellence Services

Dr Aman did my implant, I was worried about this however he explained the procedure , the indication and other alternatives and spent his time replying to my questions. The implant went well. Dr Aman is a very Gentle dentist, he extracted a wisdom tooth with local freezing, every other Dentist wanted to put me under for that. He took his time doing it and asked me about my pain all through the procedure. His office staff are awesome as well.

Dr. Freh Riskalla Doctor
Edit Content
Carvolth Dentistry
This rate is given by our Patients after visiting our Clinic
0 /5
Rating

For Excellence Services

We relocated far away, yet we still make it a point to visit Dr. Kataria and the team. The clinic is impeccably clean and exceptionally well-organized. Every visit is a delightful and enjoyable experience.

Andrii Pronenko Local Guide
Edit Content
Carvolth Dentistry
This rate is given by our Patients after visiting our Clinic
0 /5
Rating

For Excellence Services

Booked an emergency apt here for my partner, he was in so much pain he could not even speak. Reception was so friendly and helpful, and booked us an appointment for the next hour. We were seen quickly, and he received pain relief, and got a root canal in the same day. Dentist and assistant were extremely professional and kind.

Abi Neale Patient
Edit Content
Carvolth Dentistry
This rate is given by our Patients after visiting our Clinic
0 /5
Rating

For Excellence Services

Unbelievable experience from start to finish. Dr Amaan & the whole team at Carvolth Dentistry were empathetic, kind and very professional. I Will definitely recommend this clinic to family & friends going forward!.

Joan Stevenson Patient
Star icon

BLOGS

Check Our Latest Articles

Insights, tips, and stories to keep your smile healthy and bright!

The Importance of Regular Dental Check-Ups

The Importance of Regular Dental Check-Ups

Maintaining oral health is crucial not only for a bright…

Top 5 Benefits of Professional Teeth Whitening

Top 5 Benefits of Professional Teeth Whitening

Maintaining oral health is crucial not only for a bright…

Understanding Dental Implants: What You Need to Know

Understanding Dental Implants: What You Need to Know

Maintaining oral health is crucial not only for a bright…